Ehilà! In qualità di fornitore di design rimovibili dentali, spesso mi viene chiesto se i nostri prodotti possono essere utilizzati per persone con un'arcata dentale stretta. Bene, tuffiamoci subito in questo argomento e scopriamolo.
Prima di tutto, cos’è esattamente un’arcata dentale stretta? In poche parole, si verifica quando la larghezza dell'arcata dentale, ovvero la parte curva della mascella dove si trovano i denti, è inferiore alla media. Ciò può portare a una serie di problemi come il sovraffollamento dei denti, problemi di morso e in alcuni casi persino difficoltà di linguaggio.


Ora, la grande domanda: i design rimovibili dentali possono funzionare per le persone con un’arcata dentale stretta? La risposta è un sonoro sì! Ma ci sono alcune cose importanti da tenere a mente.
Uno dei principali vantaggi dei design rimovibili dentali è la loro flessibilità. A differenza degli apparecchi dentali fissi, quelli rimovibili possono essere regolati e personalizzati per adattarsi a un’ampia gamma di forme e dimensioni dell’arcata dentale. Per le persone con un'arcata dentale stretta, ciò significa che possiamo creare un design che si adatta perfettamente alla loro struttura orale unica.
Parliamo di alcuni dei tipi specifici di design rimovibili dentali che offriamo. PrendereProgettazione digitale della gomma gengivale dentalePer esempio. Questo design si concentra sulle gengive e può essere personalizzato per fornire una vestibilità comoda anche in un'arcata dentale stretta. La tecnologia digitale che utilizziamo ci consente di creare un modello preciso delle gengive del paziente, garantendo che il design rimovibile non solo abbia un aspetto naturale ma funzioni anche bene.
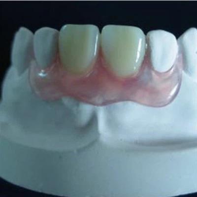
Un'altra ottima opzione èProgettazione di corone e ponti digitali dentali. Corone e ponti vengono spesso utilizzati per sostituire i denti mancanti o riparare quelli danneggiati. Nel caso di un’arcata dentale stretta, possiamo progettare questi pezzi rimovibili per adattarli perfettamente alla struttura dentale esistente. Il processo di progettazione digitale ci consente di tenere conto dello spazio limitato nell'arco stretto e di creare una soluzione che sia sia esteticamente gradevole che funzionale.
E poi c'èProgettazione di impianti dentali digitali. Gli impianti sono una scelta popolare per la sostituzione dei denti mancanti e il nostro approccio di progettazione digitale ci consente di creare impianti adatti ad un’arcata dentale stretta. Possiamo pianificare attentamente il posizionamento degli impianti per garantire stabilità e corretto allineamento, anche nello spazio ristretto di un'arcata stretta.
Tuttavia, non tutto fila liscio. La progettazione di prodotti rimovibili dentali per un’arcata dentale stretta comporta le sue sfide. Uno dei problemi principali è lo spazio limitato. Dobbiamo essere estremamente precisi nelle misurazioni e nella progettazione per garantire che l'apparecchio rimovibile non causi alcun disagio o interferisca con le normali funzioni orali del paziente.
Un'altra sfida è garantire la stabilità del design rimovibile. Con un'arcata dentale stretta, potrebbe esserci meno superficie su cui appoggiare l'apparecchio, il che può renderlo più incline a spostarsi o cadere. Ma non preoccuparti, il nostro team di esperti ha anni di esperienza nella gestione di questi problemi. Utilizziamo materiali e tecniche avanzati per migliorare la stabilità dei design rimovibili, in modo che rimangano al loro posto e funzionino come previsto.
Quando si tratta dei materiali che utilizziamo, siamo sempre alla ricerca delle migliori opzioni. Per le persone con un’arcata dentale stretta, abbiamo bisogno di materiali che non siano solo resistenti e durevoli ma anche leggeri e confortevoli. Lavoriamo con polimeri di alta qualità e altri materiali avanzati che soddisfano questi criteri. Questi materiali possono essere facilmente modellati nella forma desiderata, consentendoci di creare un design rimovibile su misura per ciascun paziente.
Oltre al design e ai materiali, anche il processo di montaggio è fondamentale. Il nostro team di odontotecnici e dentisti lavora a stretto contatto per garantire che il design rimovibile si adatti perfettamente. Utilizziamo una tecnologia di scansione avanzata per ottenere un'immagine accurata dell'arcata dentale del paziente e quindi apportare le modifiche necessarie al progetto prima della creazione del prodotto finale.
Quindi, se sei un dentista o un paziente alla ricerca di design rimovibili dentali per qualcuno con un'arcata dentale stretta, abbiamo quello che fa per te. I nostri prodotti sono progettati per fornire una soluzione comoda, funzionale ed esteticamente gradevole. Che si tratti di un design gengivale, di una corona e di un ponte o di un impianto, possiamo creare un design rimovibile su misura che soddisfi le vostre esigenze specifiche.
Se sei interessato a saperne di più sui nostri design rimovibili dentali o hai domande sul loro utilizzo per persone con un'arcata dentale stretta, non esitare a contattarci. Siamo sempre felici di fare una chiacchierata e discutere su come possiamo aiutarti con le tue esigenze dentistiche. Che tu sia un professionista dentale che cerca di offrire ai suoi pazienti le migliori soluzioni o un individuo alla ricerca di un apparecchio dentale comodo ed efficace, siamo qui per aiutarti. Contattaci e iniziamo una conversazione su come i nostri design rimovibili dentali possono fare la differenza nella tua salute orale.
Riferimenti
- Libri di testo di anatomia dentale e occlusione
- Articoli del Journal of Dental Research sulle variazioni dell'arcata dentale e sulle protesi rimovibili
